0871-6591 8161
0871-6742 9328
马金铺廊桥阳光门店
呈贡时代俊园门店
0871-6745 4343
呈贡实力锦城门店
新闻动态
NEWS
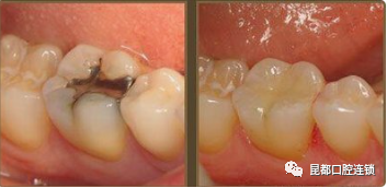
牙齿怎么黑了?别担心牙齿生病了,及时处理就可以。
来源: | 作者:佚名 | 发布时间: 2023-12-17 | 692 次浏览 | 🔊 点击朗读正文 ❚❚ | 分享到:

补牙就是用最简单的方法对牙齿龋坏,外伤,磨损等各种因素,导致牙体组织缺损的市民进行牙体修复从而使牙齿恢复美观和正常咀嚼功能,

温馨提示:补牙可不能补龋坏到牙神经的牙齿哦。

 

 蛀牙的形成


图片


有很多市民认为牙烂了只要还能用就可以不用管它,这是个非常错误的观念,牙齿烂了说明你的牙齿出现脱钙,破坏,软化不及时处理牙齿会形成蛀洞,专业话术叫蛀牙,也就是人们常说的虫牙。

补牙材料要怎么选?


图片


补牙的价格有很多,不同的材料价格当然不同,那么是不是价格越贵的就越好呢?  当然不是。这个得根据自身蛀牙龋坏的情况,自身的需求。最主要还是根据自己的经济状况在选择适合自己的材料。

补牙材料常见的有哪些?


图片


玻璃离子:是一种牙色补牙物料。通常用在乳牙、近牙龈及牙颈处。它能紧贴着牙齿及其所发放的氟素有助巩固牙齿及有防蛀功效。不适用于后牙的修复。

复合树脂:美观,非常接近牙齿的天然颜色,主要用于前牙修复,耐用,复合树脂补牙,与釉质有较强的粘合力,比较牢固, 不易脱落。

纳米树脂:色泽逼真,恢复牙齿自然外形,独有的纳米技术复合树脂,超出预期的强度和持久性,纳米树脂填充的抗压性和抗张性以及持久性

嵌体:磨除牙体组织少、机械性能好、边缘密合性好、可高度抛光等良好性能,在形态、硬度等各方面与牙齿吻合度很好,所以嵌体一般可以使用几年以上。


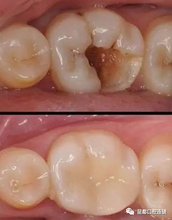
看牙要趁早


图片


  好了看了小编说的这些,看看你的牙齿有没有下黑点如果有赶紧去看看吧。

   如果没有及时补牙小黑点愈来愈严重,从浅到深,从小到大变成深龋,伤到牙神经,这样就麻烦了。    要做根管治疗,根管治疗是什么,小编下期跟大家讲。